STUDIO DENTAL
Queremos ser o melhor studio dental do Brasil. Por isso, não paramos de buscar novos conhecimentos e tecnologias
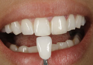
O Diego Lima Studio Dental possui grande experiência na tecnologia digital para entregar uma prótese precisa e personalizada para cada paciente.
Acompanhamos de perto os avanços tecnológicos do mercado odontológico e investimos constantemente em capacitação e equipamentos de ponta.

O processo digital permite a criação e produção de próteses a partir do escaneamento dos dentes do pacientes. Assim, eliminamos o processo de moldagem manual, mais lento e menos preciso.
Proximidade durante todo o processo
Prezamos muito pela boa relação e acolhimento de nossos parceiros, desde o atendimento inicial até a entrega final do produto, ajudando a entregar valor aos pacientes.
Conheça o Diego Lima
- Formado como Técnico em Prótese Dentária pela FOP Unicamp
- Curso de Oclusão, Morfologia em Cera e Estratificação em Cerâmica com Hilton Riquieri
- Curso de Cerâmica de Alta Performance com David Morita
- Curso em Excelência em E-Max com Raul Masso
- Treinamento pelo Método Unique com Yan Barrozzo
- Curso Internacional de Prótese Gengival com Andres Acevedo
- Carreira Profissional em TPD desde 2010

Região de atuação
Com sede em Andradas/MG, o Diego Lima Studio Dental atende dentistas da região e de todo o Brasil.

Criamos próteses de alta qualidade, com os melhores materiais e tecnologias












Responsabilidade ambiental
- Evitamos o uso dos moldes de alginato, silicone e gesso. Assim eliminamos o desperdício de materiais e reduzimos o uso de EPI. Além disso, eliminamos a poeira de gesso, o que mantém o ambiente mais saudável para a nossa equipe.